تاریخ آخرین آپدیت 2026-02-14 توسط دکتر مهسا موسوی متخصص مغز و اعصاب و ستون فقرات -نظام پزشکی 111572

فهرست مطالب
ام آر آی چیست؟
ام آر آی یا اسکن تصویربرداری تشدید مغناطیسی، با استفاده از آهنربا و امواج رادیویی، تصویری سه بعدی و دقیق از داخل بدن به شما ارائه می دهد. دستگاه های MRI بر خلاف سایر اشکال تصویربرداری مانند اشعه ایکس از اشعه استفاده نمی کنند.
جدول مقایسه مزایا و خطرات ام آر آی
| مزایا | خطرات |
|---|---|
| تصاویر با کیفیت بالا و جزئیات زیاد | احساس ناراحتی در فضای بسته (کلستروفوبیا) |
| تشخیص دقیق انواع بیماریها | وجود اجسام فلزی در بدن میتواند خطراتی ایجاد کند. |
| عدم استفاده از اشعه ایکس و بیخطر بودن | تزریق ماده حاجب ممکن است باعث واکنش آلرژیک شود. |
| عدم نیاز به آمادهسازی پیچیده | هزینه بالا نسبت به برخی روشهای دیگر |
| تصاویر سه بعدی و ارزیابی دقیق آسیبها | زمان طولانی انجام آزمایش |
| کاربرد گسترده در تمام قسمتهای بدن | ممکن است برای برخی افراد با ضربانساز یا ایمپلنتهای فلزی مناسب نباشد. |
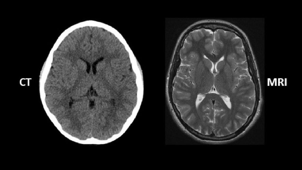
مقایسه مزایا و خطرات ام آر آی و سی تی اسکن
ام آر آی و سی تی اسکن دو روش تصویربرداری پزشکی هستند که برای تشخیص بیماریها و آسیبها استفاده میشوند. هر کدام از این روشها مزایا و خطرات خاص خود را دارند. در جدول زیر، مقایسهای بین این دو روش انجام شده است:
| ویژگی | ام آر آی (MRI) | سی تی اسکن (CT Scan) |
|---|---|---|
| تصاویر | تصاویر بسیار دقیق از بافتهای نرم مانند مغز، نخاع و عضلات | تصاویر دقیق از استخوانها و بافتهای سخت |
| اشعه ایکس | استفاده نمیشود | استفاده میشود |
| خطر تشعشع | بسیار کم (تقریباً صفر) | کمی دارد (به خصوص در مقایسه با روشهای قدیمیتر) |
| ماده حاجب | ممکن است از ماده حاجب استفاده شود | معمولاً از ماده حاجب یددار استفاده میشود |
| زمان انجام | معمولاً طولانیتر است | کوتاهتر است |
| هزینه | معمولاً گرانتر است | معمولاً ارزانتر است |
| موارد منع مصرف | برای افراد دارای ایمپلنتهای فلزی، ضربانساز و برخی از دستگاههای پزشکی قابل استفاده نیست | برای افراد باردار و کودکان با احتیاط استفاده میشود |
| کلاستروفوبیا | ممکن است برای افراد مبتلا به کلاستروفوبیا مشکلساز باشد | معمولاً مشکلی ایجاد نمیکند |
| کاربرد | تشخیص بیماریهای مغز، نخاع، مفاصل، تومورها، عفونتها و … | تشخیص شکستگیها، خونریزی داخلی، تومورها و … |

خطرات ام آر آی برای افرادی که دستگاه پزشکی دارند
ام آر آی یک دستگاه پزشکی است که از میدان مغناطیسی قوی برای گرفتن عکس از داخل بدن استفاده میکند. این میدان مغناطیسی قوی میتواند برای افرادی که دستگاههای پزشکی مانند ضربانساز، مفصل مصنوعی یا پمپ انسولین دارند خطرناک باشد.
چرا ام آر آی برای این افراد خطرناک است؟
- جذب توسط آهنربا: میدان مغناطیسی قوی ام آر آی میتواند دستگاههای فلزی داخل بدن را به سمت خود بکشد و باعث حرکت آنها شود. این حرکت میتواند به بدن آسیب برساند.
- گرم شدن دستگاه: میدان مغناطیسی میتواند باعث گرم شدن دستگاههای فلزی داخل بدن شود و به بافتهای اطراف آسیب برساند.
- تداخل با عملکرد دستگاه: میدان مغناطیسی میتواند باعث اختلال در کار دستگاههای الکترونیکی کاشته شده مانند ضربانساز شود.
- تخریب تصویر: وجود دستگاههای فلزی میتواند کیفیت تصاویر ام آر آی را کاهش دهد و تشخیص بیماری را مشکل کند.
چه دستگاههایی برای ام آر آی خطرناک هستند؟
- دستگاههای کاشته شده: مانند ضربانساز، مفصل مصنوعی، استنت، ایمپلنت حلزونی
- دستگاههای خارجی: مانند پمپ انسولین، بریس پا، پانسمان زخم
- دستگاههای جانبی: مانند ونتیلاتور، مانیتور بیمار
چه باید کرد؟
- قبل از انجام ام آر آی به پزشک خود بگویید: اگر دستگاه پزشکی دارید، حتما قبل از انجام به پزشک خود اطلاع دهید.
- اطمینان از ایمنی دستگاه: پزشک شما باید بررسی کند که دستگاه پزشکی شما برای انجام MRI ایمن است یا خیر.
- دستگاههای MR Safe: برخی از دستگاههای پزشکی به گونهای طراحی شدهاند که برای انجام ام آر آی ایمن هستند.
- دستگاههای MR Conditional: برخی دیگر از دستگاهها فقط در شرایط خاصی قابل استفاده هستند. این دستگاهها به عنوان “MR Conditional” شناخته میشوند.
- دستگاههای MR Unsafe: اگر دستگاه شما به عنوان “MR Safe” یا “MR Conditional” شناخته نشده باشد، انجام MRI برای شما خطرناک است.
به طور خلاصه:
✸ ✸ اگر دستگاه پزشکی دارید، قبل از انجام MRI حتما با پزشک خود مشورت کنید. انجام ام آر آی بدون اطلاع پزشک و بدون اطمینان از ایمنی دستگاه میتواند بسیار خطرناک باشد.✸ ✸
MRI is the most frequently used imaging test of the brain and spinal cord.
MRI متداولترین آزمایش تصویربرداری مغز و نخاع است.
به نقل از سایت:.mayoclinic
ام آر آی مغز🧠
ام آر آی مغز تصاویری دقیق از مغز و بافتهای عصبی ارائه میدهد.
ام آر آی مغز میتواند برای تشخیص و پیگیری بسیاری از بیماریها و اختلالاتی که مغز را تحت تأثیر قرار میدهند، از جمله موارد زیر استفاده شود:
- نقص مادرزادی
- خونریزی (خونریزی زیر عنکبوتیه، زیر سخت شامه یا روی سخت شامه یا خونریزی در خود بافت مغز)
- آنوریسمها
- عفونت، مانند آبسه مغزی
- تومورها (سرطانی و غیرسرطانی)
- اختلالات هورمونی (مانند آکرومگالی، گالاکتوره و سندرم کوشینگ)
- مولتیپل اسکلروزیس
- سکته مغزی
اسکن ام آر آی مغز همچنین میتواند علت موارد زیر را تعیین کند:
- ضعف عضلانی یا بیحسی و سوزن سوزن شدن
- تغییرات در تفکر یا رفتار
- ناشنوایی
- سردردها زمانی که علائم یا نشانههای خاصی وجود دارد
- مشکلات گفتاری
- مشکلات بینایی
- دمانس
نوع خاصی از ام آر آی به نام آنژیوگرافی رزونانس مغناطیسی (MRA) ممکن است برای بررسی رگهای خونی مغز انجام شود.

ام آر آی کمر
اسکن تصویربرداری رزونانس مغناطیسی از کمر یا ستون فقرات کمری ممکن است توسط پزشک شما برای تشخیص دلایل ارزیابی درد کمر، و همچنین درد (“سیاتیکا”)، ضعف یا بیحسی در پاها تجویز شود.
تصور کنید کمرتون یه خونه قدیمی باشه. بعضی وقتا تو این خونه صداهایی میاد، جاهایی درد میکنه یا حتی ممکنه یه لوله آبش نشتی داشته باشه. برای اینکه بفهمیم مشکل از کجاست، نیاز داریم یه عکس خیلی دقیق از داخل خونه بگیریم.
ام آر آی کمر هم دقیقا همین کارو میکنه. این دستگاه با استفاده از آهنربا و امواج رادیویی، یه عکس خیلی واضح و دقیق از کمرتون میگیره. این عکس به دکتر کمک میکنه تا بفهمه مشکل کمرتون از کجاست و چه چیزی باعث درد و ناراحتیتون شده.
چرا ام آر آی بهتر از عکسهای معمولی هست؟
- عکس باکیفیتتر: ام آر آی میتونه حتی جزئیات خیلی ریز مثلاً یه پارگی کوچیک تو دیسک یا یه تورم خیلی کم رو نشون بده.
- بدون ضرر: ام آر آی هیچ اشعهای نداره و برای بدن ضرری نیست.
- تشخیص دقیقتر: با ام آر آی میتونیم خیلی راحتتر بفهمیم که مشکل کمرتون چیه. مثلاً اینکه دیسکتون پاره شده یا عصبهاتون تحت فشار هستن.
چه موقع به ام آر آی نیاز داریم؟
وقتی کمرتون درد میکنه، بیحس شده یا حس میکنید یه چیزی تو پاهاتون میخوابه، دکتر ممکنه ام آر آی بنویسه. همچنین اگه سابقه سرطان دارید یا مشکلاتی مثل بیاختیاری ادرار یا مدفوع دارید، ممکنه به ام آر آی نیاز پیدا کنید.
ام آر آی چه چیزهایی رو نشون میده؟
- مشکلات دیسک: مثلاً اینکه دیسکتون پاره شده یا بیرون زده باشه.
- تنگی کانال نخاعی: یعنی جایی که نخاع توش قرار داره تنگ شده باشه.
- تومور: رشد غیر طبیعی سلولها
- عفونت: التهاب یا عفونت در استخوانها یا بافتهای اطراف
- شکستگی: ترک خوردن یا شکستن استخوانها
خلاصه
ام آر آی کمر مثل یه دوربین خیلی قوی هست که میتونه داخل کمرتون رو نشون بده. این روش خیلی دقیق و بیخطر هست و به دکتر کمک میکنه تا مشکل کمرتون رو تشخیص بده و بهترین درمان رو برای شما انتخاب کنه.

MRI scans may be performed on an outpatient basis or as part of a stay in a hospital
اسکنهای MRI ممکن است به صورت سرپایی یا به عنوان بخشی از بستری در بیمارستان انجام شوند.
به نقل از سایت:hopkinsmedicine
ام آر آی کمر ولگن با تزریق
ام آر آی کمر و لگن با تزریق یکی از روشهای پیشرفته تصویربرداری پزشکی است که برای تشخیص دقیقتر و جزئیتر بیماریها و مشکلات این نواحی از بدن به کار میرود. در این روش، علاوه بر استفاده از میدان مغناطیسی قوی و امواج رادیویی، از یک ماده حاجب خاص نیز استفاده میشود که به صورت وریدی به بدن تزریق میشود. این ماده حاجب، با خاصیتی که دارد، باعث میشود تصاویر به دست آمده از ام آر آی واضحتر و با جزئیات بیشتری باشند.
چرا به ام آر آی کمر و لگن با تزریق نیاز است؟
- تشخیص دقیقتر تومورها: ماده حاجب به تشخیص دقیقتر اندازه، شکل و محل تومورها کمک میکند.
- بررسی بهتر عروق خونی: با استفاده از ماده حاجب، میتوان جریان خون در عروق خونی ناحیه کمر و لگن را بهتر ارزیابی کرد.
- تشخیص بهتر التهابها: ماده حاجب میتواند به تشخیص التهابها و عفونتها در بافتهای نرم کمک کند.
- ارزیابی بهتر آسیبهای ورزشی: در برخی موارد، برای ارزیابی دقیقتر آسیبهای ورزشی، از ام آر آی با تزریق استفاده میشود.
فرایند انجام ام آر آی کمر و لگن با تزریق
- آمادهسازی: قبل از انجام ام آر آی، از شما خواسته میشود که لباسهای فلزی خود را درآورده و از هرگونه شیء فلزی دور شوید. همچنین، ممکن است از شما خواسته شود که قبل از انجام آزمایش، ناشتا باشید.
- تزریق ماده حاجب: قبل از شروع تصویربرداری، ماده حاجب به صورت وریدی به بدن شما تزریق میشود. این تزریق معمولاً درد کمی دارد.
- قرارگیری در دستگاه: شما بر روی تخت دستگاه دراز میکشید و دستگاه شما را به داخل یک تونل بزرگ میبرد.
- تصویربرداری: در طول تصویربرداری، صداهای ضربه مانند و وزوز شنیده میشود که طبیعی است.
- پایان تصویربرداری: پس از پایان تصویربرداری، تخت از دستگاه خارج میشود و شما میتوانید از روی آن بلند شوید.
مزایای ام آر آی کمر و لگن با تزریق
- دقت بسیار بالا: تصاویر به دست آمده از این روش بسیار دقیق و با جزئیات هستند.
- تشخیص زودهنگام بیماریها: با استفاده از این روش، میتوان بسیاری از بیماریها را در مراحل اولیه تشخیص داد.
- ارزیابی دقیقتر درمان: این روش به پزشک کمک میکند تا روند درمان را بهتر ارزیابی کند.
عوارض جانبی ام آر آی با تزریق
- واکنش آلرژیک به ماده حاجب: در برخی موارد، ممکن است فرد به ماده حاجب واکنش آلرژیک نشان دهد.
- احساس گرما یا سرما: برخی افراد پس از تزریق ماده حاجب، احساس گرما یا سرما میکنند.
- تیره شدن ادرار: به دلیل دفع ماده حاجب از طریق کلیهها، ادرار ممکن است به رنگ تیره تغییر کند.

قبل از ام آر آی چی بخوریم؟
قبل از انجام ام آر آی، ممکن است تعجب کنید که چه آمادگی لازم است. آیا باید روزه بگیری؟ آیا اقدامات خاصی وجود دارد که باید انجام دهید؟ چه انتظاری باید داشته باشید؟ خوشبختانه، در بسیاری از موارد، آمادگی لازم برای MRI حداقل است.
معمولاً قبل ازام آر آی نیازی به تغییر رژیم غذایی ندارید. غذاهای سبکتر اغلب توصیه میشود تا اطمینان حاصل شود که در طول اسکن احساس سیری یا ناراحتی نمیکنید. همچنین عاقلانه است که مقدار آبی را که می نوشید محدود کنید، زیرا اسکن می تواند تا یک ساعت طول بکشد و پس از شروع اسکن نمی توانید از سرویس بهداشتی استفاده کنید. شما باید تمام داروها را طبق دستور مصرف کنید، مگر اینکه پزشکتان دستور دیگری بدهد.
از شما میخواهیم که هنگام ورود لباس نخی بپوشید. می توانید در حین اسکن لباس زیر معمولی خود را زیر لباس خود بپوشید، مگر اینکه لباس زیر فلزی باشد (مثلاً یک سوتین با سیم زیر یا بند). از آنجایی که دستگاه ام آر آی از آهنربا استفاده می کند، هر فلز روی بدن شما در طول اسکن می تواند نتایج را مختل کند. این همچنین به این معنی است که شما باید تمام جواهرات را قبل از اسکن بردارید.
آیا می توانم قبل از MRI دوش بگیرم؟
بله! شما می توانید قبل از معاینه مانند معمول دوش بگیرید، اما از استفاده از لوسیون، دئودورانت یا مرطوب کننده هایی که ممکن است حاوی قطعات میکروسکوپی فلز باشند، خودداری کنید. مانند لباس شما، فلز موجود در لوازم آرایشی می تواند در حین اسکن شما مشکلاتی ایجاد کند.
در طول اسکن MRI من چه اتفاقی خواهد افتاد؟
پس از پوشیدن لباس خود، شما را به اتاقی می برند که دستگاه ام آر آی در آن قرار دارد. تکنسین از شما میخواهد روی میز دستگاه دراز بکشید و وقتی در آن مستقر شدید، آن را در یک استوانه بزرگ میلغزند. از شما خواسته می شود تا جایی که ممکن است بی حرکت بمانید تا مطمئن شوید که واضح ترین نتایج را دریافت می کنید. ممکن است تکنسین در تمام طول اسکن با استفاده از دستگاه مخابره داخلی با شما صحبت کند.
همچنین انواع مختلفی از صداها مانند ضربه زدن، ضربه زدن و کوبیدن را خواهید شنید. برای محافظت از گوشهایتان و کمک به شما برای خفه کردن صداها، یک جفت هدفون دریافت میکنید و میتوانید نوع موسیقی را که دوست دارید بشنوید انتخاب کنید. اسکن می تواند از 15 دقیقه تا یک ساعت طول بکشد.
اگر کلاستروفوبیک باشم چه؟
اگر با کلاستروفوبیا دست و پنجه نرم می کنید، گزینه های مختلفی وجود دارد که می تواند به شما کمک کند اسکن ام آر آی خود را با موفقیت انجام دهید. در Gateway Diagnostic Imaging، ما MRI 3T با سوراخ گسترده را در همه مکان ها ارائه می دهیم. این دستگاهها راحتتر هستند و میتوانند منجر به اضطراب و کلاستروفوبیا کمتری برای بیماران شوند.
بسیاری از بیماران متوجه می شوند که توانایی گوش دادن به موسیقی حواس آنها را پرت می کند و احساس کلاستروفوبیا را در آنها کاهش می دهد. برخی دیگر گوشگیرها را ترجیح میدهند تا بهتر صداهای دستگاه را مسدود کنند. میتوانید هر کدام را که به شما کمک میکند در طول اسکن آرامش بیشتری داشته باشید، انتخاب کنید.
اگر علائم شما شدید باشد، پزشک ممکن است برای شما یک آرام بخش تجویز کند تا در طول اسکن به خواب بروید.

ام آر آی برای تشخیص چیست؟
ام آر آی برای بررسی طیف وسیعی از اندامها و بافتهای بدن استفاده میشود، از جمله:
- مغز و نخاع: تشخیص تومورها، سکته مغزی، ام اس و سایر اختلالات عصبی
- ستون فقرات: تشخیص فتق دیسک، تنگی کانال نخاعی، شکستگیها و تومورها
- مفاصل: تشخیص آرتروز، آسیبهای رباط و تاندون و تومورهای مفصلی
- اندامهای داخلی: بررسی کبد، کلیهها، پانکراس، قلب و رگهای خونی
- بافتهای نرم: بررسی عضلات، چربی و بافتهای همبند
نحوه آماده شدن برای آزمایش
ممکن است از شما خواسته شود که 4 تا 6 ساعت قبل از اسکن چیزی نخورید یا ننوشید.
اگر از فضاهای بسته میترسید (کلاستروفوبیا دارید) به ارائه دهنده مراقبتهای بهداشتی خود اطلاع دهید. ممکن است دارویی برای کمک به خواب آلودگی و کاهش اضطراب دریافت کنید. یا ارائه دهنده شما ممکن است یک ام آر آی “باز” را پیشنهاد کند که در آن دستگاه به بدن نزدیکتر نیست.
ممکن است از شما خواسته شود که لباس بیمارستانی یا لباسی بدون بست فلزی (مانند شلوار راحتی و تیشرت) بپوشید. برخی از انواع فلزات میتوانند باعث تصاویر تار شوند.
MRI حاوی آهنرباهای قوی است. اشیاء فلزی اجازه ورود به اتاق با اسکنر MRI را ندارند. این شامل:
- خودکارها، چاقوهای جیبی و عینک
- وسایلی مانند جواهرات، ساعتها، کارتهای اعتباری و سمعکها
- سوزنها، سنجاق سر، زیپهای فلزی و موارد مشابه فلزی
- کار دندانپزشکی قابل جابجایی
- احساس آزمایش
- اگر به ماده کنتراست نیاز دارید، هنگام تزریق ماده کنتراست به داخل ورید، احساس سوزن زدن در بازوی خود خواهید کرد.
- آزمایش هیچ دردی ایجاد نمیکند. اگر در بیحرکتی مشکل دارید یا بسیار عصبی هستید، ممکن است برای آرامش دارویی دریافت کنید. حرکت بیش از حد میتواند تصاویر را تار کند و باعث خطا شود.
- میز ممکن است سخت یا سرد باشد، اما میتوانید درخواست پتو یا بالش کنید. دستگاه هنگام روشن شدن صدای کوبیدن و زمزمه بلندی ایجاد میکند. میتوانید برای کاهش صدا از گوشیهای گوش استفاده کنید.
- یک ارتباط داخلی در اتاق به شما امکان میدهد تا در هر زمان با کسی صحبت کنید. برخی از MRIها دارای تلویزیون و هدفونهای مخصوص هستند که میتوانند به شما کمک کنند تا زمان را بگذرانید یا صدای اسکنر را مسدود کنید.
- زمان بهبودی وجود ندارد، مگر اینکه دارویی برای آرامش دریافت کرده باشید. پس از اسکن، میتوانید به رژیم غذایی، فعالیت و داروهای معمول خود بازگردید.

خطرات
MRI از هیچ تشعشعی استفاده نمیکند. تا به امروز، هیچ عارضه جانبی از میدانهای مغناطیسی و امواج رادیویی گزارش نشده است.
رایجترین نوع ماده کنتراست (رنگ) مورد استفاده گادولینیوم است. این بسیار ایمن است. واکنشهای آلرژیک به این ماده به ندرت رخ میدهد. با این حال، گادولینیوم میتواند برای افرادی که مشکلات کلیوی دارند و در حال دیالیز هستند مضر باشد. اگر مشکلات کلیوی دارید، قبل از آزمایش به ارائه دهنده خود اطلاع دهید.
میدانهای مغناطیسی قوی MRI میتوانند خطر اختلال در عملکرد ضربانسازها و ایمپلنتهای قلبی را افزایش دهند. همچنین میتواند باعث حرکت یا جابجایی تکهای فلز در بدن شما شود.
ملاحظات
ام آر آی در بارداری هیچ گونه تهدیدی برای سلامت مادر و جنین ایجاد نمیکند.
MRI به طور معمول در تشخیص ضایعات مغزی کوچک، دقت بیشتری نسبت به سیتیاسکن نشان میدهد.. CT معمولاً در مشاهده مناطق کوچک خونریزی بهتر است.
آزمایشهایی که ممکن است به جای ام آر آی سر انجام شوند عبارتند از:
- اسکن CT سر
- اسکن توموگرافی انتشار پوزیترون (PET) مغز
در موارد زیر ممکن است CT ترجیح داده شود، زیرا سریعتر است و معمولاً در اتاق اورژانس در دسترس است:
- آسیب حاد سر و صورت
- خونریزی در مغز (در 24 تا 48 ساعت اول)
- علائم اولیه سکته مغزی
- اختلالات استخوان جمجمه و اختلالات مربوط به استخوانهای گوش
مدت زمان ام آر آی کمر:
مدت زمان ام آر آی کمر معمولاً بین ۱۵ تا ۹۰ دقیقه است. این مدت زمان بستگی به نوع تصاویر مورد نیاز و محل انجام اسکن دارد.

چگونه جواب ام آر آی را بخوانیم
خواندن و تفسیر نتایج ام آر آی نیازمند دانش و تجربه تخصصی است، اما میتوانم نکات کلی را برای شما توضیح دهم:
آشنایی با ساختار گزارش ام آر آی
گزارشهای ام آر آی معمولاً شامل بخشهای زیر هستند:
- توضیحات بالینی: شامل اطلاعاتی درباره دلیل انجام ام آر آی و تاریخچه پزشکی بیمار.
- تکنیک: توضیحاتی درباره نوع ام آر آی و تکنیکهای استفاده شده.
- یافته ها: این بخش شامل توضیحات دقیق درباره تصاویر ام آر آی و هرگونه ناهنجاری مشاهده شده است.
- نتیجه گیری: خلاصه ای از یافته ها و تفسیر نهایی پزشک.
- بررسی تصاویر ام آر آی
تصاویر MRI به صورت مقاطع مختلف از بدن تهیه میشوند. هر تصویر نشان دهنده بخشی از بدن است که باید با دقت بررسی شود. برای مثال:
- تصاویر محوری (Axial): مقاطع افقی از بدن.
- تصاویر تاجی (Coronal): مقاطع عمودی از جلو به عقب.
- تصاویر ساژیتال (Sagittal): مقاطع عمودی از چپ به راست.
- تفسیر یافته ها
پزشک متخصص رادیولوژی نتایج را تفسیر میکند و در گزارش خود توضیح میدهد که آیا ناهنجاری یا مشکلی وجود دارد یا خیر. این تفسیر شامل توضیحاتی درباره:
- اندازه: اندازه ناهنجاریها یا ضایعات.
- شکل: شکل و ساختار ناهنجاریها.
- محل: محل دقیق ناهنجاریها در بدن.
- اصطلاحات رایج در گزارشهای ام آر آی
برخی از اصطلاحات رایج که ممکن است در گزارشهای ام آر آی مشاهده کنید عبارتند از:
- هایپرتنس (Hyperintense): نواحی با شدت سیگنال بالا.
- هایپوتنس (Hypointense): نواحی با شدت سیگنال پایین.
- توده (Mass): ناهنجاریهای بزرگتر که ممکن است نیاز به بررسی بیشتر داشته باشند.
- مشاوره با پزشک
بهترین راه برای درک کامل نتایج MRI، مشاوره با پزشک متخصص است. پزشک میتواند نتایج را به زبان ساده توضیح دهد و به سوالات شما پاسخ دهد. همچنین، پزشک میتواند توصیههای لازم برای مراحل بعدی درمان را ارائه دهد.

ام آر آی گردن
MRI گردن (Cervical Spine MRI) یک روش تصویربرداری غیرتهاجمی است که برای ایجاد تصاویر دقیق از ستون فقرات گردنی، بافتهای نرم و اعصاب اطراف گردن استفاده میکند. این روش به پزشکان کمک میکند تا مشکلات مختلفی مانند فتق دیسک، تنگی کانال نخاعی، تومورها و آسیب های دیگر را تشخیص دهند
کاربردهای ام آر آی گردن
- تشخیص فتق دیسک: شناسایی و ارزیابی دیسک های بین مهره ای که ممکن است به نخاع فشار وارد کنند.
- بررسی تومورها: تشخیص تومورهای خوش خیم و بدخیم در ناحیه گردن.
- ارزیابی آسیب ها: بررسی آسیب های ناشی از تصادفات یا ضربه به گردن.
آیا باید با معده خالی برای MRI بروم؟
MRI یک آزمایشی است که به پزشک شما کمک میکند روده کوچک خود را مشاهده کنید. روده کوچک شما به آرامی پردازش میشود، بنابراین باید زمان زیادی را صرف آمادهسازی و آماده کردن بدن خود برای آزمایش کنید.
چیزهایی که باید از قبل بدانید
مهمترین نکتهای که باید در ذهن داشته باشید این است که حداقل 4 ساعت قبل از زمان تعیین شده ورود خود نباید هیچ غذای جامد یا مایعی بنوشید. در صورت نیاز به آب برای مصرف دارو میتوانید استثنا قائل شوید. فقط مطمئن شوید که بیش از 8 اونس ننوشید.
شما باید 2.5 ساعت قبل از آزمایش واقعی MRI Enterography برسید تا یک ماده کنتراست خوراکی به نام VoLumen بنوشید. کارکنان MRI شروع به دادن این ماده کنتراست خوراکی به شما در فواصل 30 دقیقهای میکنند. هنگام نوشیدن ممکن است احساس پری کنید و مجبور شوید به دستشویی بروید. نگران نباشید، این طبیعی است.
یک بزرگسال 4 بطری ماده کنتراست خوراکی مینوشد در حالی که یک کودک مقدار آن را بر اساس وزن خود مینوشد. پس از نوشیدن آن، VoLumen از روده کوچک شما عبور میکند و به رادیولوژیست شما کمک میکند تا هرگونه مشکلی را مشاهده و ارزیابی کند.

سخن پایانی
ام آر آی مغز: این روش تصویربرداری غیرتهاجمی با استفاده از میدان مغناطیسی و امواج رادیویی، تصاویر دقیقی از ساختارها و بافتهای مغز ایجاد میکند. این تصاویر به پزشکان کمک میکند تا اختلالات و بیماریهای مغزی مانند تومورها، سکته مغزی و اختلالات عروقی را تشخیص دهند
ام آر آی کمر: این روش برای بررسی ستون فقرات کمری و بافت های اطراف آن استفاده می شود. ام آر آی کمر میتواند مشکلاتی مانند فتق دیسک، تنگی کانال نخاعی و آسیب های ناشی از تصادفات را تشخیص دهد
ام آر آی لگن: این روش برای بررسی ساختارهای داخلی لگن از جمله استخوان ها، عضلات و بافت های نرم استفاده میشود. ام آر آی لگن میتواند به تشخیص مشکلاتی مانند تومورها، التهاب ها و آسیب های ورزشی کمک کند
چگونه جواب ام آر آی را بخوانیم؟
خواندن و تفسیر نتایج ام آر آی نیازمند دانش و تجربه تخصصی است، اما میتوانم نکات کلی را برای شما توضیح دهم:
- آشنایی با اصطلاحات پزشکی: در گزارش های ام آر آی، اصطلاحات پزشکی زیادی استفاده می شود. آشنایی با این اصطلاحات میتواند به شما کمک کند تا بهتر نتایج را درک کنید
- بررسی تصاویر: تصاویر ام آر آی به صورت مقاطع مختلف از بدن شما تهیه می شوند. هر تصویر نشان دهنده بخشی از بدن است که باید با دقت بررسی شود.
- تفسیر نتایج: پزشک متخصص رادیولوژی نتایج را تفسیر میکند و در گزارش خود توضیح میدهد که آیا ناهنجاری یا مشکلی وجود دارد یا خیر. این تفسیر شامل توضیحاتی درباره اندازه، شکل و محل ناهنجاریها است
- مشاوره با پزشک: بهترین راه برای درک کامل نتایج ام آر آی، مشاوره با پزشک متخصص است. پزشک میتواند نتایج را به زبان ساده توضیح دهد و به سوالات شما پاسخ دهد
سوالات متداول در مورد ام آر آی
- ام آر آی چیست؟
تصویربرداری با رزونانس مغناطیسی یک روش تصویربرداری غیرتهاجمی است که از میدان مغناطیسی قوی و امواج رادیویی برای تولید تصاویر دقیقی از داخل بدن استفاده میکند
- 2. MRI برای چه مواردی استفاده میشود؟
این روش برای تشخیص مشکلاتی مانند هرنیاسیون دیسک، تومورها، التهابات، و تغییرات استخوانی در نخاع و مهره ها، و همچنین بررسی مشکلات در سایر اعضای بدن مانند مغز، کبد، و مفاصل استفاده میشود
- 3. آیا MRI خطرناک است؟
به طور کلی بیخطر است و از اشعه ایکس استفاده نمیکند. با این حال، افرادی که دارای ایمپلنتهای فلزی یا دستگاه های پزشکی خاصی هستند باید قبل از انجام ام آر آی با پزشک خود مشورت کنند
- 4. آیا نیاز به آمادگی خاصی برای MRI وجود دارد؟
در بیشتر موارد، نیاز به آمادگی خاصی نیست. اما ممکن است از شما خواسته شود که جواهرات و وسایل فلزی را قبل از ورود به اتاق MRI بردارید
- 5.MRI چقدر طول میکشد؟
زمان انجام ام آر آی بسته به ناحیه مورد بررسی و نوع اسکن متفاوت است، اما معمولاً بین 30 تا 60 دقیقه طول میکشد.




